(044) 233-67-43 [email protected] Київ, вул. Машинобудівна, 35А
Портативні системи

Компактна система з технологією VGuide, діапазоном частот 2-23 МГц та розширеними можливостями для загальної та кардіологічної діагностики

Ключові особливості:
  • Технологія підсилення голки VGuide
  • Easy Compare для порівняння знімків
  • Точне наведення для біопсії
  • Вбудований навчальний посібник
  • Діапазон частот 2-23 МГц
  • Кардіологічні функції (стрес-ехо, strain imaging, TDI)
  • Віддалені рішення VINNO
  • Інтуїтивне сенсорне управління
VINNO 6 - компактна ультразвукова система з покращеними можливостями для загальної діагностики та спеціалізованих досліджень.

ОСОБЛИВОСТІ СИСТЕМИ:
Ультралегкий та ультратонкий дизайн забезпечує максимальну мобільність. Система легко переноситься або кріпиться до мобільного візка з підтримкою підключення кількох датчиків одночасно. Широкий спектр сучасних варіантів підключення включає PACS, modality worklist, DICOM, WiFi, Bluetooth та платформу віддалених рішень VINNO.

ДІАГНОСТИЧНІ МОЖЛИВОСТІ:
• Технологія підсилення голки VGuide - забезпечує чіткіше зображення голки для точних пункцій
• Easy Compare - зручне порівняння знімків до та після обстеження
• Діапазон частот 2-23 МГц - високоякісні зображення від поверхневих до глибоких тканин
• Точне наведення для біопсії з функцією підсилення зображення голки
• Вбудований навчальний посібник для швидкого освоєння

КЛІНІЧНІ ЗАСТОСУВАННЯ:
• Невідкладна медицина: швидкі та точні результати біля ліжка пацієнта
• Дослідження опорно-рухового апарату: високоточна візуалізація з функцією порівняння
• Загальна візуалізація: черевна порожнина, акушерство, гінекологія, дрібні органи, судини
• Кардіологія: 2D-візуалізація, допплерівська продуктивність, стрес-ехо, strain imaging, тканинна допплерографія, вимірювання швидкості пульсової хвилі

ПЕРЕВАГИ ДЛЯ ЛІКАРЯ:
Інтуїтивно зрозуміле управління через сенсорну панель значно спрощує роботу. Система оптимізує робочий процес, підвищує ефективність та допомагає впоратися з великим навантаженням у клініці.
Дизайн Ультралегкий та ультратонкий
Мобільність Портативна або на мобільному візку
Частотний діапазон 2-23 МГц
Підключення PACS, DICOM, WiFi, Bluetooth
Датчики Багатозондове підключення
Зображення 2D, допплер, strain imaging

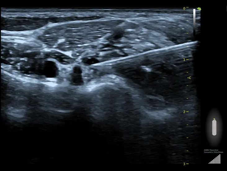
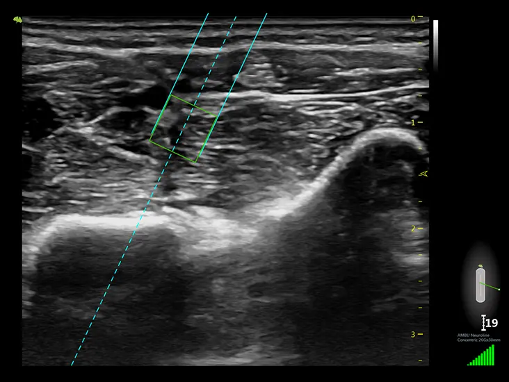
Клінічні зображення, що демонструють якість діагностики та можливості обладнання

Клінічне зображення 1
Клінічне зображення 1
Клінічне зображення 2
Клінічне зображення 2
Клінічне зображення 3
Клінічне зображення 3
Клінічне зображення 4
Клінічне зображення 4
Техічна підтримка
Додаткові послуги
  • Навчання персоналу
  • Технічне обслуговування
  • Гарантійне обслуговування

Схожі продукти