(044) 233-67-43 [email protected] Київ, вул. Машинобудівна, 35А
Портативні системи

Преміальна система з платформою VLucid+, штучним інтелектом VAid та розширеними можливостями для критичної медицини.

Ключові особливості:
  • ДІйсно преміальна якість зображення
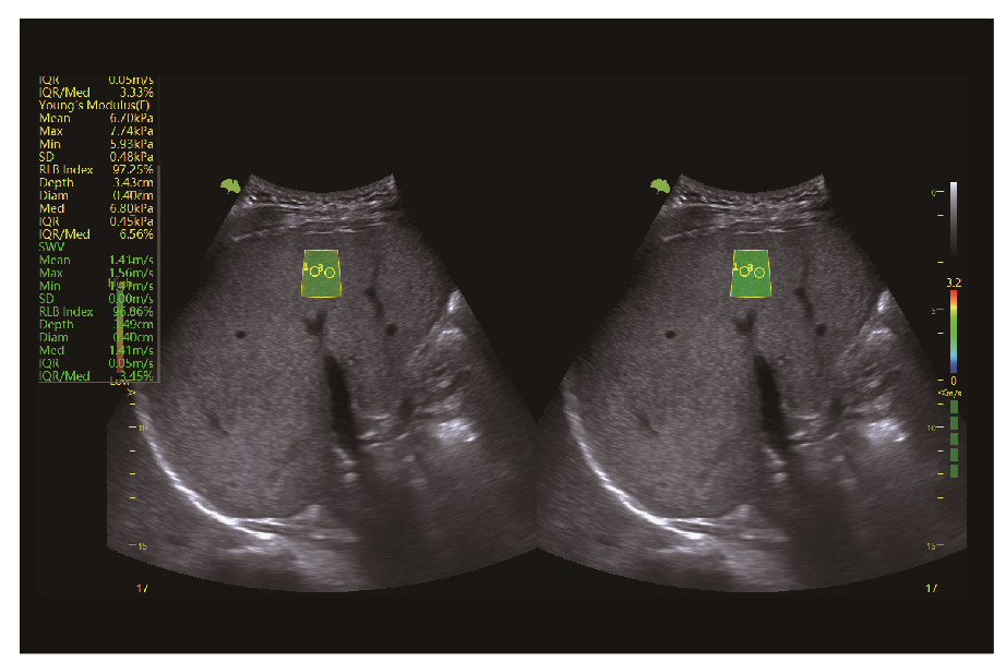
  • VShear+ еластографія зсувної хвилі
  • Платформа VLucid+ з покращеною обробкою
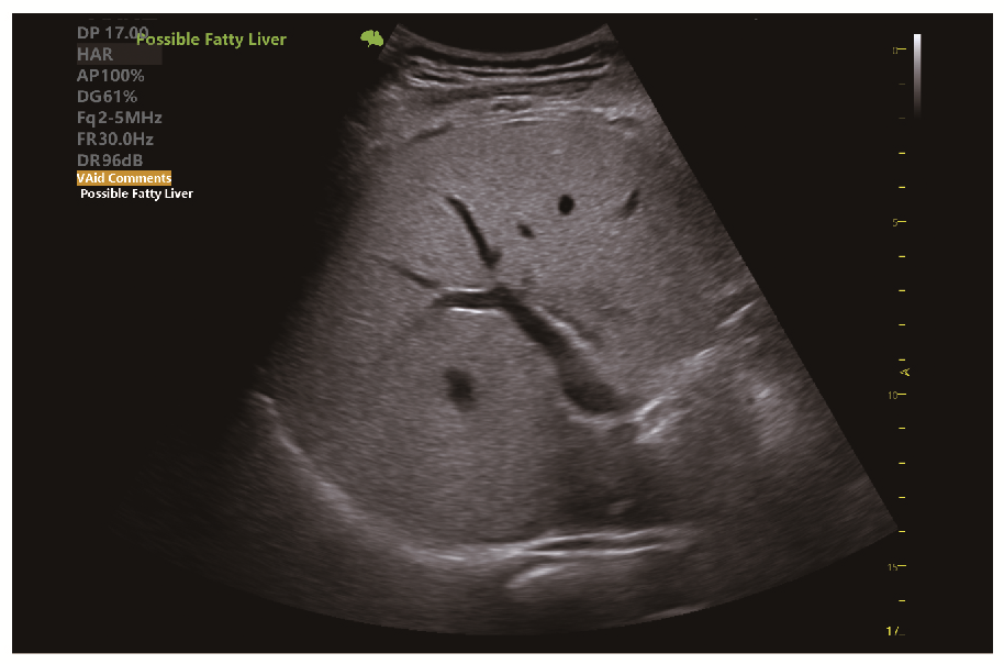
  • VAid Liver автоматичне виявлення захворювань печінки
  • VAid Thyroid з TI-RADS категоризацією
  • Auto Needle Enhancement
  • Multi Doppler (TDI+PW)
  • Високоточна архітектура формування променя
  • Адаптивна частота збору даних
  • Світловий індикатор батареї
VINNO 10 - преміальна портативна ультразвукова система, розроблена для подолання викликів щоденної медичної практики з покращеною якістю зображення на основі платформи VLucid+.

ПОКРАЩЕНА ПЛАТФОРМА VLucid+:
Система забезпечує покращену якість зображення завдяки високоточній архітектурі формування променя, адаптивній частоті збору даних та удосконаленій обробці сигналу. Це дозволяє отримувати більш чіткі та детальні зображення для точної діагностики.

КЛІНІЧНІ РІШЕННЯ З ШТУЧНИМ ІНТЕЛЕКТОМ:
• VAid Liver - автоматичне виявлення вогнищевих і дифузних захворювань печінки з кількісним аналізом
• VAid Thyroid - виявлення вузлів щитовидної залози з категоризацією за TI-RADS та створенням звітів
• Auto Needle Enhancement - покращена візуалізація голки під крутими кутами
• Multi Doppler - поєднання TDI та PW для швидкої оцінки діастолічної дисфункції

ЗАСТОСУВАННЯ:
Система ідеально підходить для критичної медицини, невідкладної допомоги, анестезіології та загальної візуалізації. Відмінна мобільність дозволяє проводити сканування в будь-якому місці з преміальною якістю зображення.

ЕРГОНОМІЧНИЙ ДИЗАЙН:
Інтуїтивно зрозумілий інтерфейс, до 3 роз'ємів для датчиків, 4 тримачі датчиків та світловий індикатор стану батареї забезпечують комфортну роботу лікаря.
Платформа VLucid+ з покращеною обробкою
Формування променя Високоточна архітектура
ШІ функції VAid Liver, VAid Thyroid
Датчики До 3 роз'ємів, 4 тримачі
Мобільність Відмінна для сканування будь-де
Інтерфейс Інтуїтивно зрозумілий

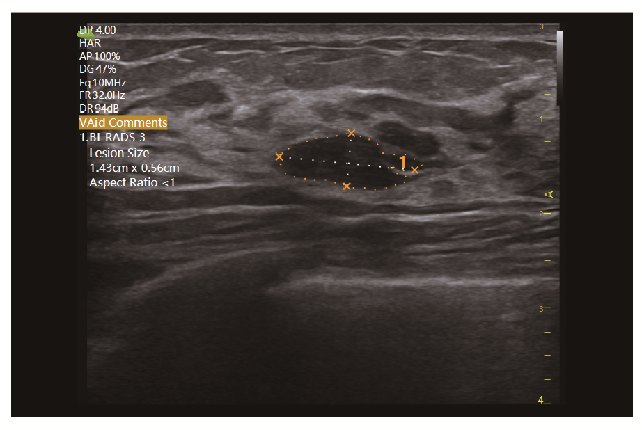
Клінічні зображення, що демонструють якість діагностики та можливості обладнання

Клінічне зображення 1
Клінічне зображення 1
Клінічне зображення 2
Клінічне зображення 2
Клінічне зображення 3
Клінічне зображення 3
Клінічне зображення 4
Клінічне зображення 4
Техічна підтримка
Додаткові послуги
  • Навчання персоналу
  • Технічне обслуговування
  • Гарантійне обслуговування

Схожі продукти